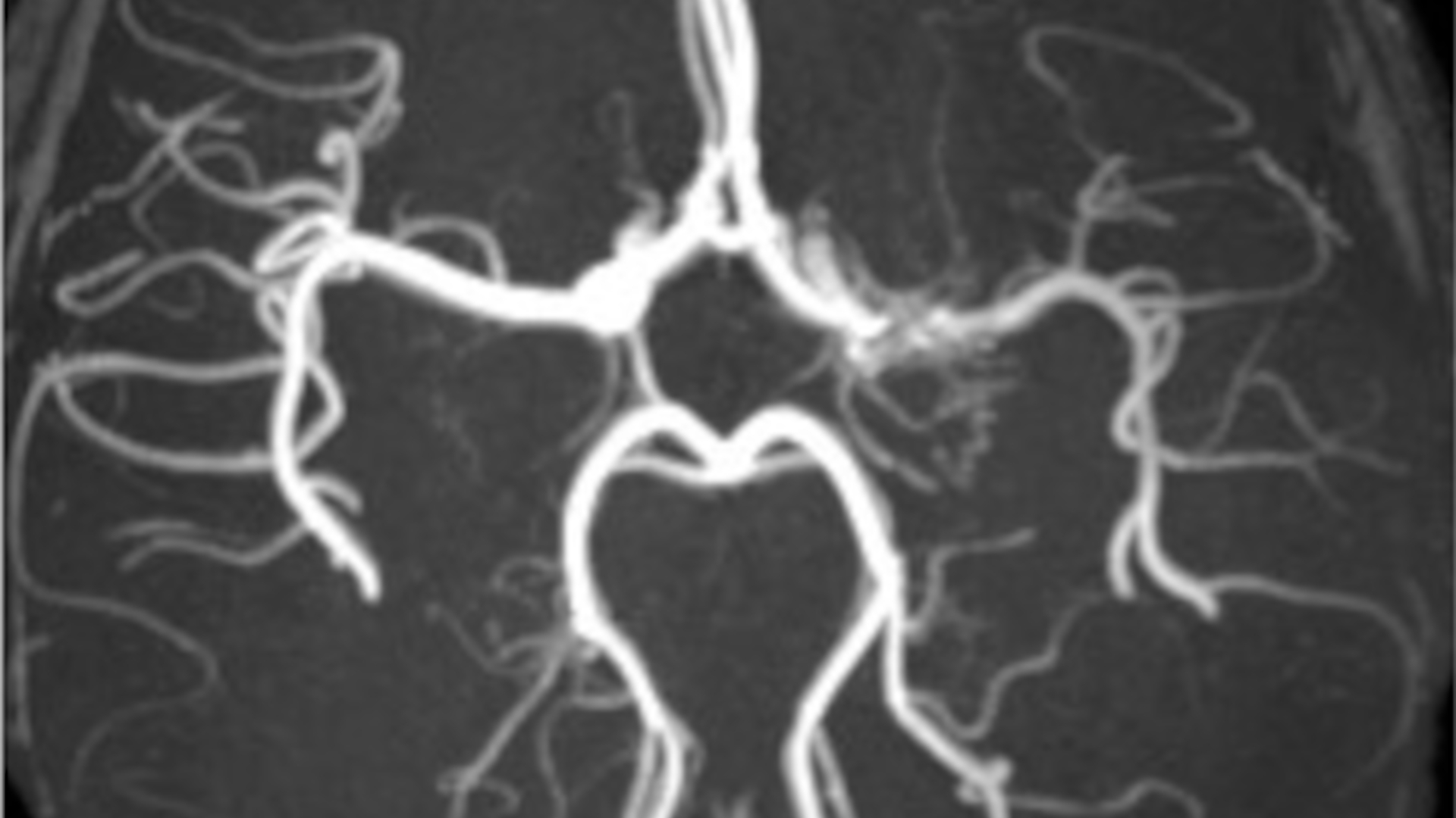
Science Ouverte Parution : L’impression 3D en chirurgie orthognathique, à lire en libre accès La fabrication additive permet de produire des dispositifs médicaux spécifiques aux patients, contribuant à offrir des soins sur mesure.... Lire la suite Enseigner, apprendre, former à l’informatique à l’école : regards croisés Le projet « Informatique à l’école : conceptualisations, accompagnement, ressources » IE CARE, financé par l’Agence... Lire la suite À lire dans Emerging Neurologist : maladie de Moya Moya, deux cas étudiés au CHU de Rennes Depuis les années 2000, plusieurs anomalies de l’artère cérébrale moyenne ont été décrites dont le twig-like, ou maladie de Moya Moya.... Lire la suite Actualités Parution : L’impression 3D en chirurgie orthognathique, à lire en libre accès| Publications Retour sur la journée « Construire l’accompagnement à la gestion des données de la recherche »| données de recherche Enseigner, apprendre, former à l’informatique à l’école : regards croisés| Publications À lire dans Emerging Neurologist : maladie de Moya Moya, deux cas étudiés au CHU de Rennes| Publications Le Journal Enseigner les Enjeux Socio-Écologiques dans le Supérieur, en ligne sur Opus| Publications En accès ouvert sur Opus : Les mots-clés des curricula| Publications Première édition du prix science ouverte de la thèse| Science ouverte HALathon national : du 21 mai au 4 juin 2024| Publications Interopérabilité de HAL avec deux services de relecture de manuscrits : Episciences et PCI| Science ouverte Toute l’actualité Chiffres clés % Publications UPCité 2021 en accès ouvert Participants aux formations Science ouverte 2022-2023 Plans de Gestion de Données 2021 : formés et accompagnés Référent.e.s Science ouverte dans les unités de recherche