20 octobre 2021 | Accueil, Campus, Circle U, International, Vie étudiante
Sous le signe de l’ouverture, du partage et de la découverte, les étudiantes et étudiants internationaux d’Université Paris Cité ont pris part à la première édition de la Welcome Week. Cinq jours d’échanges, de convivialité et d’enthousiasme ! Welcome Week...
18 octobre 2021 | Accueil, Presse, Recherche, Université Paris Cité
En combinant les méthodes d’apprentissage machine et de calcul intensif avec des équations thermodynamiques, une équipe internationale dirigée par des scientifiques de l’Institut de physique du globe de Paris a mis au point un modèle numérique qui prédit les...
18 octobre 2021 | Accueil, Recherche, Recherche Sociétés Humanités
Anne ABEILLÉ, Professeure d’Université Paris Cité au laboratoire de linguistique formelle, UMR 7110, a co-dirigé avec Danièle GODARD La Grande Grammaire du français, mettant à l’honneur la diversité de tous les usages écrits et oraux de la langue française. Pour...
14 octobre 2021 | Accueil, Culture, Édition 2021-2022, Faculté Sociétés et Humanités
Pour lancer ce nouveau rendez-vous autour du « Monde d’après », Cynthia Fleury et Pierre Zaoui nous invitent à réfléchir sur ce qui a changé ou non dans nos vies depuis mars 2020. Pensez à réserver votre place ! Gratuit sur réservation Le 18 octobre 2021 à 19h...
12 octobre 2021 | Accueil, Vie étudiante
Blandine Pont, étudiante en DFASO1, 4e année, au sein de l’UFR d’Odontologie d’Université Paris Cité, partage son temps entre ses études en chirurgie dentaire et ses entrainements de judo au club du RSC Champigny. Ceinture noire de judo, Blandine nous conte sa...
7 octobre 2021 | Accueil, Covid-19, Presse, Université Paris Cité
L’Institut Covid-19 Ad Memoriam (Université Paris Cité / IRD) lance la plateforme numérique « Histoires de crise » dont l’ambition est de recueillir les témoignages des français et des françaises sur la pandémie de Covid-19. Connectez-vous sur la plateforme :...
2 octobre 2021 | Accueil, Faculté Sociétés et Humanités, Institutionnel, Institutionnel Sociétés Humanités, Université Paris Cité
Ce lundi 4 octobre à 15h, Olivier Houdé, professeur à l’Institut de psychologie d’Université Paris Cité, sera installé en habit vert sous la Coupole de l’Institut de France à l’Académie des sciences morales et politiques. © Sylvain Lhermie Le Pr Olivier...
24 septembre 2021 | Accueil, Faculté de Santé
Cette 3e édition de la “Soirée des Hôpitaux” aura lieu le mardi 28 septembre de 18h à 20h en ligne. Elle sera l’occasion d’évoquer la place de l’hôpital aujourd’hui, alors que le coronavirus a encore une fois souligné son caractère...
17 septembre 2021 | Accueil, Recherche, Recherche Sciences
Dans une étude, parue en août 2021 dans la revue Journal of Hazardous Materials, des scientifiques de l’Institut de Physique du globe de Paris, d’Université Paris Cité et du Laboratoire national de métrologie et d’essais ont étudié, pendant un an, l’évolution des...
15 septembre 2021 | Accueil, Presse
Ce sondage, réalisé par Ipsos pour Université Paris Cité et le King’s College de Londres, va à l’encontre des nombreuses analyses portant sur le déclin à venir des grandes villes dans le monde post-Covid. Ainsi, la part des habitants qui envisagent de quitter leur...
13 septembre 2021 | Accueil
Dans le cadre de la construction du campus hospitalo-universitaire Saint-Ouen Grand Paris Nord à Saint-Ouen, une enquête publique préalable unique est organisée du 13 septembre au 15 octobre 2021. © RPBW, rendering by Artefactory – Photos non contractuelles...
13 septembre 2021 | Accueil, Circle U, Faculté de Santé, Formation, Institutionnel Santé, International, International Santé, Recherche Santé
Le 6 septembre, la Faculté de Santé d’Université Paris Cité a accueilli une délégation de l’Université d’Aarhus (Danemark) pour une journée d’échanges sur la mobilité, la formation et la recherche, et des visites de laboratoires, l’occasion pour les deux universités...
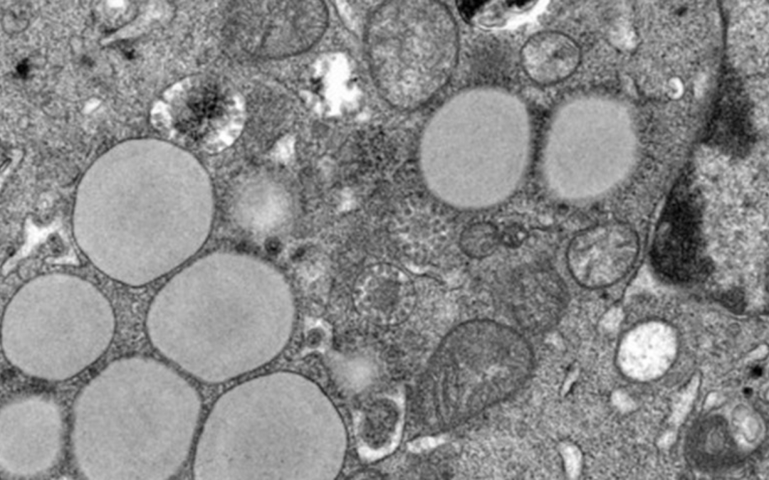
13 septembre 2021 | Accueil, Presse, Recherche, Recherche Santé
Les infections chroniques et les cancers induisent un épuisement fonctionnel des lymphocytes T, cellules clés du système immunitaire. La revitalisation des lymphocytes T épuisés est un enjeu thérapeutique majeur. Les travaux des chercheurs et enseignants-chercheurs de...
2 septembre 2021 | Accueil, International, Recherche, Université Paris Cité
Face à la situation dramatique que traverse l’Afghanistan depuis la reprise du pouvoir par les talibans, le programme PAUSE, lancé par le Collège de France, affirme sa solidarité à l’égard des chercheurs, chercheuses et artistes afghans et appelle à la mobilisation de...
25 août 2021 | Accueil, International, Recherche, Recherche Sciences, Université Paris Cité
Le projet européen de recherche Crowd4SDG lance son deuxième appel à projets autour du changement climatique et l’égalité entre les sexes. Contribuez à ce défi en répondant à l’appel avant le 30 septembre 2021 ! Le consortium Crowd4SDG est composé de 6...
21 juillet 2021 | Accueil, Innovation, Recherche
Bravo à Nassima Bekaddour, Benoit Schneider, Dorian Joulié, Marc Robert, Hadrien Lanvin, Amanda Silva Brun, portant les trois startup Elyris Pharma, Carboneo et Evora Biosciences, lauréats d’un prix au Concours d’Innovation 2021 porté par le Ministère de...