Les infections chroniques et les cancers induisent un épuisement fonctionnel des lymphocytes T, cellules clés du système immunitaire. La revitalisation des lymphocytes T épuisés est un enjeu thérapeutique majeur. Les travaux des chercheurs et enseignants-chercheurs de l’Inserm et d’Université Paris Cité à l’Institut de Recherche Saint-Louis, en collaboration avec des équipes de l’université de Harvard (Etats-Unis) suggèrent qu’une intervention thérapeutique précoce est essentielle pour préserver la fonctionnalité des cellules T et que, passé un certain délai, les lymphocytes T développent des anomalies de l’expression des gènes et ne peuvent plus récupérer complètement.
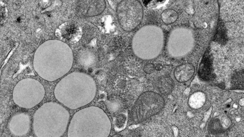
Les cellules infectées par le virus de l’hépatite C accumulent de grosses gouttelettes lipidiques, un phénomène appelé stéatose qui contribue au développement d’une fibrose du foie chez les patients atteints d’hépatite chronique C.
© Inserm, P. Roingeard
Les lymphocytes T sont des cellules clés de la réponse immunitaire adaptative. Responsables de l’immunité cellulaire, leur rôle est de détruire les cellules de l’organisme infectées par un virus ou les cellules tumorales. Toutefois, en cas d’infection chronique ou de cancer, on observe un épuisement des lymphocytes T au cours du temps. En d’autres termes, stimulés de manière chronique par des protéines virales ou tumorales, les lymphocytes T ne sont plus en mesure d’assurer leur fonction et de tuer les cellules infectées ou cancéreuses. Ils ne peuvent pas se différencier en lymphocytes T mémoires, capables d’induire une réponse immunitaire de rappel en cas de nouvelle infection ou de rechute du cancer.
Ce dysfonctionnement se traduit par des altérations génétiques et moléculaires qui ont longuement été étudiées par les scientifiques, afin de comprendre comment cet épuisement des lymphocytes T se met en place. Par ailleurs, la revitalisation des lymphocytes T épuisés est un enjeu thérapeutique majeur et tout un autre pan de la recherche s’intéresse à la manière d’y parvenir. On sait aujourd’hui que certaines immunothérapies peuvent conduire à cette revitalisation des lymphocytes T, mais elles fonctionnent de manière inégale d’un patient à l’autre.
La nouvelle étude menée par le chercheur Inserm Pierre Tonnerre et ses collègues à l’Institut de Recherche Saint-Louis (Inserm/Université Paris Cité), en collaboration avec des équipes de l’université de Harvard aux Etats-Unis, s’est intéressée aux mécanismes d’épuisement des lymphocytes T dans le contexte d’une infection par le virus de l’hépatite C. L’hépatite C est aujourd’hui la seule infection virale chronique dont il est possible de guérir complètement grâce aux antiviraux à action directe (AAD).
Dans ce travail, les chercheurs et chercheuses ont étudié les caractéristiques fonctionnelles et moléculaires des lymphocytes T issus de 20 patients infectés de longue date par le virus de l’hépatite C et traités avec des AAD pendant 12 semaines dans le cadre d’un essai clinique. L’idée était d’étudier comment les lymphocytes T épuisés changeaient lorsqu’ils n’étaient plus stimulés de manière chronique par les protéines virales, une fois les patients guéris.
Ils ont d’abord observé que, suite aux 12 semaines de thérapies, chez les patients guéris, les lymphocytes T semblent se différencier et acquérir les caractéristiques de lymphocytes T mémoires normaux. Cependant, il ne s’agit que d’un leurre : en regardant de plus près, ils ont remarqué que les paramètres clés qui déterminent l’efficacité de ces cellules demeuraient dysfonctionnels. Au niveau moléculaire, l’expression de certains gènes demeure altérée, comme si l’épuisement des lymphocytes lors de l’infection avait laissé une « cicatrice ».
« Plus la stimulation des lymphocytes T par les protéines virales a été longue, plus profonde est cette cicatrice. Nos travaux suggèrent donc qu’une intervention thérapeutique précoce pourrait permettre de mieux conserver la fonctionnalité des lymphocytes T et de lutter contre leur épuisement. Passé un certain délai, les anomalies génétiques s’installent dans la durée, et les lymphocytes T ne sont plus en mesure de récupérer et d’assurer correctement leurs fonctions », explique Pierre Tonnerre.
Les implications de ces travaux sont importantes, puisqu’ils apportent des connaissances nouvelles sur les mécanismes d’épuisement et de récupérations fonctionnelle des lymphocytes T épuisés. Ils ouvrent aussi la voie à l’identification de cibles thérapeutiques potentielles. « À plus long terme, on peut imaginer tester et développer de nouvelles thérapies qui vont cibler les régions de gènes altérées des lymphocytes T et qui pourraient avoir un bénéfice dans le traitement des infections chroniques et des cancers en aidant ces cellules à retrouver leurs fonctions », souligne Pierre Tonnerre.
Toutefois, la prochaine étape de ces travaux est de regarder si le fait de traiter les patients atteints d’hépatite C chronique plus tôt, lors de la phase aigüe de l’infection, permet aux lymphocytes T de récupérer une meilleure fonctionnalité.
Références
Differentiation of exhausted CD8+ T cells after termination of chronic antigen stimulation stops short of achieving functional T cell memory – Tonnerre, P., Wolski, D., Subudhi, S. et al. Nature Immunology, août 2021
DOI : https://doi.org/10.1038/s41590-021-00982-6
À lire aussi
Prix Irène Joliot-Curie 2024 : Marie Verbanck récompensée
Créé en 2001 par le Ministère de l’Enseignement supérieur et de la Recherche, le prix Irène Joliot-Curie récompense chaque année des femmes qui se distinguent par la qualité de leurs recherches dans l’univers des sciences, de la recherche et de la technologie....
Les bactériophages, vers une alternative ciblée aux antibiotiques
Avec l’essor des antibiotiques dans les années 1930, la phagothérapie a été abandonnée. Aujourd’hui, la montée de l’antibiorésistance rend le traitement des infections bactériennes de plus en plus difficile et la phagothérapie suscite à nouveau l’intérêt des médecins...
26 Highly Cited Researchers 2024 : 26 citations pour l’université Paris Cité
Avec 26 mentions en première affiliation, l’université Paris Cité assoit sa position qui confirme l’influence de sa communauté de recherche au niveau mondial. Université Paris Cité félicite ces 26 highly cited researchers. Lire la suite 26 Highly Cited Researchers 2024 : 26 citations pour l’université Paris Cité
[Retour sur la conférence La Guilde] L’Intelligence artificielle dans l’enseignement supérieur et la recherche : débats et perspectives
Le 6 novembre 2024, l’université Paris Cité et l’Université PSL ont réuni les communautés des universités membres du réseau La Guilde lors d’un événement consacré à l’intelligence artificielle et son impact sur les universités, au sein du PariSanté Campus. Stéphanie...