Lauréate de l’appel d’offre SESAME, la plate-forme d’histologie et d’imagerie in situ du PARCC, ayant pour responsable scientifique le Professeur Cécile Badoual obtient un financement de la Région Île-de-France pour l’acquisition d’un nouveau scanner de lame haut débit. La plate-forme devient ainsi la seule en France à disposer d’un équipement de pointe aussi complet pour une meilleure connaissance des mécanismes cellulaires et moléculaires d’adaptation des vaisseaux du cœur et des reins à leur environnement normal et pathologique, mais aussi des cellules tumorales dans différents modèles.
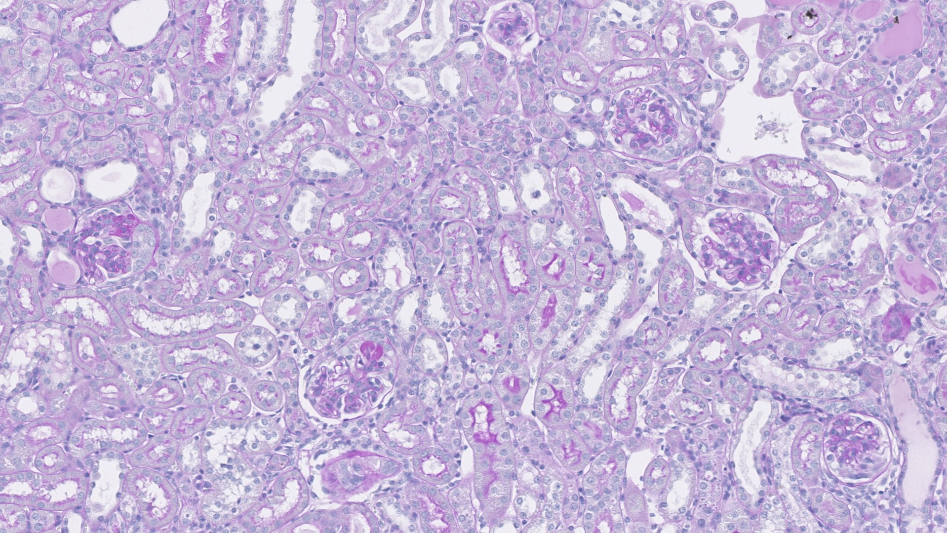
Lame scannée de rein de souris dans un modèle de hyalinose segmentaire et focale induite par l’intoxications aux glucocorticoides.
© Université Paris Cité/Inserm
En pathologie vasculaire et métabolique ou en pathologie tumorale, des progrès majeurs sont apparus dans la prise en charge des patients. Ces progrès ont été possibles, entre autres, grâce au développement de biomarqueurs prédictifs de réponse aux traitements. Ainsi, depuis quelques années, il est apparu essentiel de développer les marquages et leur lecture des différentes populations cellulaires. Le développement de nouvelles techniques d’imagerie et de marquages multiples, place l’histologie au cœur de la compréhension des mécanismes physiopathologiques. L’exploration in situ des tissus connait aujourd’hui un véritable essor numérique et technologique.
Premières en France à avoir fait l’acquisition de deux microscopes spectraux Vectra puis Polaris-PerkinEmler® et à développer les marquages multiparamétriques, les équipes du Centre de Recherche Cardiovasculaire de Paris (PARCC), dirigé par Alain Tedgui, puis Chantal Boulanger, ont aujourd’hui une expertise d’explorations multiplexes du microenvironnement, nationalement et internationalement reconnue. Pour autant, ces techniques n’étant pas dédiées à la génération à haut débit de lames virtuelles, la plate-forme souhaitait pouvoir disposer d’un outil simplifiant l’acquisition des données sur de grandes séries de modèles animaux et des cohortes de patients, afin de produire un nombre de lames virtuelles compatibles avec des études à compétitivité nationale et internationale et répondant aux besoin de développement et d’application d’algorithmes de deep learning.
Le nouveau scanner de lame haut débit sera au cœur de la plateforme d’histologie et d’imagerie in situ du PARCC dédiée au déploiement, à l’optimisation et à l’automatisation des études histologiques.
Les lames virtuelles de coupes histologiques offrent de nombreux avantages scientifiques en favorisant un travail collaboratif particulièrement intéressant pour les possibilités d’examen, d’annotation, de confrontation des interprétations que la technique autorise. La qualité des images obtenues permet quant à elle d’effectuer des mesures histologiques qualitatives et quantitatives sur la coupe entière. Particulièrement ergonomique, cet outil a l’avantage de traiter de façon automatisée et rapide, de grands volumes de données en association avec les données cliniques.
L’ensemble des équipements et des compétences associées permettra à la plate-forme d’offrir un service complet et unique au sein d’Université Paris Cité, apportant un soutien essentiel à la recherche fondamentale et au développement clinique en vue d’une médecine personnalisée.
LE PARCC
Le centre de recherche cardiovasculaire de Paris (PARCC, Inserm UMR970) est composé de 13 équipes labellisées et rassemble plus de 320 personnels chercheurs, administratifs et techniciens. Le PARCC a une forte expertise en biologie vasculaire cardio-vasculaire, rénale et tumorale, à la fois fondamentale et translationnelle. La plateforme d’histologie est codirigée par Mme Corinne Lessaffre, le Dr Olivia Lenoir et le Pr Cécile Badoual.
Cécile Badoual
PU-PH-chef de service anatomo-pathologie HEGP, Université Paris Cité. Responsable scientifique de la plate-forme d’histologie et d’imagerie in situ du PARCC.
Chantal Boulanger
Directrice de recherche Inserm. Directeur du Centre de Recherche Cardiovasculaire de Paris, Inserm UMR-970.
À lire aussi
Prix Irène Joliot-Curie 2024 : Marie Verbanck récompensée
Créé en 2001 par le Ministère de l’Enseignement supérieur et de la Recherche, le prix Irène Joliot-Curie récompense chaque année des femmes qui se distinguent par la qualité de leurs recherches dans l’univers des sciences, de la recherche et de la technologie....
Les bactériophages, vers une alternative ciblée aux antibiotiques
Avec l’essor des antibiotiques dans les années 1930, la phagothérapie a été abandonnée. Aujourd’hui, la montée de l’antibiorésistance rend le traitement des infections bactériennes de plus en plus difficile et la phagothérapie suscite à nouveau l’intérêt des médecins...
26 Highly Cited Researchers 2024 : 26 citations pour l’université Paris Cité
Avec 26 mentions en première affiliation, l’université Paris Cité assoit sa position qui confirme l’influence de sa communauté de recherche au niveau mondial. Université Paris Cité félicite ces 26 highly cited researchers. Lire la suite 26 Highly Cited Researchers 2024 : 26 citations pour l’université Paris Cité
[Retour sur la conférence La Guilde] L’Intelligence artificielle dans l’enseignement supérieur et la recherche : débats et perspectives
Le 6 novembre 2024, l’université Paris Cité et l’Université PSL ont réuni les communautés des universités membres du réseau La Guilde lors d’un événement consacré à l’intelligence artificielle et son impact sur les universités, au sein du PariSanté Campus. Stéphanie...