Press
Press releases
Phages, Towards a Targeted Alternative to Antibiotics
With the rapid development of antibiotics in the 1930s, phage therapy – using viruses known as bacteriophages or phages to tackle bacterial infections – fell into oblivion. But as the current rise in antibiotic resistance is making it increasingly difficult to treat...
International Study Characterises for the First Time a New Type of Kidney Transplant Rejection
In cases of kidney failure, transplantation is the treatment of choice. However, the risk of rejection remains high. A better understanding of the immune response to kidney transplant rejection - and in particular the phenomenon of microvascular inflammation - could...
The IPGP and the INGV Sign Memorandum of Understanding to Foster Scientific and Technical Collaboration
The Institut de physique du globe de Paris (IPGP) and the Istituto Nazionale di Geofisica e Vulcanologia (INGV) are pleased to announce the signing of a new Memorandum of Understanding (MoU) on September 12th, 2024. This agreement marks the beginning of a five-year partnership aimed at promoting scientific and technical exchanges between the two leading institutions in the fields of Earth sciences. Lire la suite The IPGP and the INGV Sign Memorandum of Understanding to Foster Scientific and Technical Collaboration
BANFF 2024 – World Premiere: Xenotransplantation Included in the International Classification of Graft Rejection
The Paris Institute for Transplantation and Organ Regeneration (UPCité), leader in organ transplantation and regeneration has been selected to host the BANFF 2024 international conference. Lire la suite BANFF 2024 – World Premiere: Xenotransplantation Included in the International Classification of Graft Rejection
Shanghai 2024: Université Paris Cité moves up 9 places to 60th worldwide
Continuing the progress made last year, Université Paris Cité is now ranked 60th out of the 1,000 institutions included in the Shanghai Academic Ranking of World Universities (AWRU) for 2024, and remains 4th in France. Lire la suite Shanghai 2024: Université Paris Cité moves up 9 places to 60th worldwide
HIV: Early Treatment, One Key to Remission
People living with HIV need to take antiretroviral treatment for life to prevent the virus from multiplying in their body. However, for some people, known as "post-treatment controllers," have been able to discontinue their treatment while maintaining an undetectable...
Nasa’s Lucy Mission Confirms Asteroid Formation Model
A numerical model of the formation, at low velocity, of satellites in binary asteroid systems was Published on November 17th in the journal Icarus by a research team from IPGP and Université Paris Cité. This model, suggesting the existence of “contact binary”...
Congratulations to Professor Alexandre Loupy, Recipient ERC Consolidator Grant
Université Paris Cité congratulates Professor Alexandre Loupy, specialist in multi-organ transplantation, for being awarded a European Consolidator Grant by the European Research Council for excellent frontier research. On November 23, 2023, the European Research Council published the results of its call for Consolidator Grant (CoG) projects Lire la suite Congratulations to Professor Alexandre Loupy, Recipient ERC Consolidator Grant
Université Paris Cité commits to women’s health with Singapore
On October 23, 2023, President Édouard Kaminski and his National University of Singapore (NUS) counterpart Tan Eng Chye signed a partnership agreement to develop joint research and events in the field of women’s health. Left to right: Édouard Kaminski (President...
InSight seismic data reveals a molten layer at the base of the Martian mantle
The analysis by the InSight mission science team of seismic data recorded on Mars following a meteorite impact that occurred in September 2021 drastically changes our vision of the internal structure of the Red Planet and its evolution. A study published on October 26...
2000 years of seismicity on the San Andreas fault segment modulated by the level of the Salton Sea
Using a technique traditionally used in civil engineering, two seismologists, including Yann Klinger, a researcher at the Institut de Physique du Globe de Paris, have highlighted the stratigraphic succession of major earthquakes over the past 2,000 years south of the...
Genetic variants implicated in autism detected in the general population
Scientists from the Institut Pasteur, the CNRS, the Institut universitaire de France, Université Paris Cité and the Paris Public Hospital Network (AP-HP) compared genetic data from 13,000 individuals with autism and nearly 200,000 individuals from the general...
Summer 2022 : Record Heat Caused Over 61,000 Deaths in Europe, With Nearly 5,000 in France
The summer of 2022 was the hottest ever recorded in Europe, characterized by an intense series of heatwaves with record temperature, drought, and forest fires. Although Eurostat had already reported unusually high excess mortality during that time, it wasn’t clear...
Édouard Kaminski is elected President of Université Paris Cité
Édouard Kaminski was elected President by the members of the Executive Board, with 18 votes in his favour. Édouard Kaminski is a geophysicist and a professor of physical volcanology.A former student at Ecole Normale Supérieure de Lyon, he was recruited as a lecturer...
The tiger mosquito can transmit the chikungunya virus in temperate conditions
The tiger mosquito Aedes albopictus, native to Southeast Asia, is one of two vectors for transmission of the chikungunya virus to humans. Scientists at Université Paris Cité and the Institut Pasteur have shown that this mosquito can acquire the ability to transmit the...
Liver Cells Control our Biological Clock
Our liver plays a role in regulating our central biological clock, scientists from CNRS and Université Paris have discovered. The results of their study, published on 17 May in Science Advances, show that the biological clock of mice can be reprogrammed by inserting...
Immunotherapy: Discovery of a Blood-soluble Biomarker advancing Customized Cancer Treatment
© Professor Eric Tartour – Université Paris Cité Interaction between a tumor cell expressing CD70 and a T-CD27 lymphocyte from a biopsy of a kidney cancer patient. In less than ten years, immunotherapy has significantly evolved to the point of being a therapeutic...
MultiMENDo, Deciphering and Treating Endometriosis
Among the 3,000 submitted projects, 39 French projects were selected and secured ERC funding, including the MultiMENDo project led by Ludivine Doridot. Lecturer in physiology at the UFR of Medicine of the Faculty of Health at Université Paris Cité, Ludivine Doridot...
Malaria: Blocking Infected Red Blood Cells to Halt Transmission
In a recent study, Professor Pierre Buffet’s team (UMRS 1134, Université Paris Cité – Inserm), was studying the proportions of red blood cells infected by the malaria parasite present in the blood and spleen. Lire la suite Malaria: Blocking Infected Red Blood Cells to Halt Transmission
Using Paleogenomics to Elucidate 10,000 Years of Immune System Evolution
Scientists from the Institut Pasteur, Université Paris Cité, the CNRS and the Collège de France have used paleogenomics to trace 10,000 years of human immune system evolution. Lire la suite Using Paleogenomics to Elucidate 10,000 Years of Immune System Evolution
Discovery of a Circovirus Involved in Human Hepatitis
A still unknown species of circovirus, temporarily named Human Circovirus 1, it is new and distant from known animal circoviruses. Its role has been demonstrated in the liver damage of a patient under immunosuppressive treatment. Lire la suite Discovery of a Circovirus Involved in Human Hepatitis
Ryugu: Asteroid Samples Continue to Shed Light on Solar System History
Nearly two years after Japanese mission Hayabusa2 returned to Earth, samples from asteroid Ryugu continue to reveal valuable information about the history of the early solar system. A study by scientists from the Institut de Physique du Globe de Paris, Université Paris Cité and CNRS, as part of an international consortium, reveals the isotopic composition of zinc and copper of asteroid Ryugu. Lire la suite Ryugu: Asteroid Samples Continue to Shed Light on Solar System History
Circle U. Elects its New President
At the General Assembly held on November 18th 2022 at Université Paris Cité, Vincent Blondel, Rector of the University of Louvain, was elected as new President of Circle U. Succeeding Svein Stølen, Rector of the University of Oslo, he will steer the strategic...
The 2022 Highly Cited Researchers at Université Paris Cité
With 20 citations, Université Paris Cité is the 2nd French university in the 2022 ranking of Highly Cited Researchers published by Web of Science Group. Lire la suite The 2022 Highly Cited Researchers at Université Paris Cité
Two major meteorite impacts shed light on the interior of Mars
By studying seismic and orbital data from two major meteorite impacts in late 2021, the international teams of NASA's InSight and Mars Reconnaissance Orbiter missions are refining their knowledge of the Martian interior. Two studies published on 27 October in the...
Towards a European evaluation framework for digital medical devices (DMDs) in the European Union – Launch of a European taskforce
The objective of the European taskforce is to reach a mutual understanding between competent agencies with competences in health technology assessment for digital medical devices (DMDs) at national level, in order to harmonise the assessment criteria in the European...
[CLOVES syndrome] : The U.S. FDA approves Alpelisib based on a French study
AP-HP, Inserm and Université Paris Cité extend their congratulations to Professor Guillaume Canaud’s teams at Necker-Enfants Malades Hospital (AP-HP), Necker-Enfants Malades Institute (INEM), Inserm, Institut Imagine and Université Paris Cité for their work on alpelisib (BYL719), approved by the US Food and Drug Administration (FDA). Lire la suite [CLOVES syndrome] : The U.S. FDA approves Alpelisib based on a French study
[SARS-CoV-2] Neutralization of BA.1 and BA.2 by therapeutic monoclonal antibodies
The SARS-CoV-2 Omicron BA.1 sublineage has been supplanted in many countries by the BA.2 sublineage. Although Omicron is responsible for less severe forms in the general population, immunocompromised people are still at higher risk of developing severe forms of...
Initiative of Excellence label confirmed for Université Paris Cité
Further to the international jury’s visit in September 2021, the Prime Minister has announced the permanent labeling of Université Paris Cité as an Initiative of Excellence. Lire la suite Initiative of Excellence label confirmed for Université Paris Cité
Université Paris Cité, The new name of Université Paris Cité adopted by Decree
Further to an internal and external survey as well as a vote by its governing bodies, Université Paris Cité has become Université Paris Cité. The new name was approved by the Ministry of Higher Education, Research and Innovation, and was adopted by a decree of the...
[VIH] : New Antibody Function Discovered
By applying cutting-edge microscopy techniques to in vitro virus cultures, teams at the Institut Pasteur, CNRS, Vaccine Research Institute (VRI) and Université Paris Cité have discovered a new function of anti-HIV-1[1] antibodies. The scientists found that certain...
Binge-eating: Restoring the Dialogue Between the Gut and the Brain
In a study published on January 24, 2022 in the journal Molecular Psychiatry, the scientific team "Central Control of Eating Behavior and Energy Expenditure" (Functional and Adaptive Biology Unit - Université Paris Cité/CNRS) discovered a new mechaninsm which, by...
Université Paris Cité is to Change its Legal Name
Le ministère de l’Enseignement supérieur, de la Recherche et de l’Innovation (MESRI) et Université Paris Cité prennent acte de la décision d’annulation partielle du décret n°2019-209 sur la dénomination de l’université. Si un travail est d’ores et déjà engagé afin de proposer rapidement aux instances de l’établissement une nouvelle dénomination juridique, ensemble, ils soulignent toute la pertinence et la dynamique d’un projet d’excellence qui porte déjà ses fruits en France et à l’international. Lire la suite Université Paris Cité is to Change its Legal Name
[Covid-19] Omicron : resistant to most monoclonal antibodies but neutralized by a booster dose
Scientists from the Institut Pasteur and the Vaccine Research Institute, in collaboration with KU Leuven (Leuven, Belgium), Orléans Regional Hospital, Hôpital Européen Georges Pompidou (AP-HP), Inserm and the CNRS, studied the sensitivity of the Omicron variant to...
Chronic Alcohol Use : Genetic Variations Provide Protection from Liver Cancer
In a study published on December 10, 2021 in The Lancet Oncology, Prof J. Zucman-Rossi's team at the Cordeliers Research Centre (Université Paris Cité, Sorbonne University, Inserm) and collaborators from the GENTHEP network, identified two new genes; WNT3A-WNT9A,...
Rosetta Mission : Scientists confirm Comet 67P is indeed a binary object!
By analysing the data collected during 2 years by the Rosetta spacecraft, researchers of the Laboratoire d’Etudes Spatiales et d’Instrumentation en Astrophysique (LESIA), find evidences that the periodic comet 67P Churyumov-Gerasimenko is indeed a binary object. © ESA...
The 2021 Highly Cited Researchers at Université Paris Cité
With 17 citations, Université Paris Cité is the 2nd French university in the 2021 ranking of Highly Cited Researchers published by Clarivate, Web of Science Group. Do you know the HiCi? Behind this abbreviation lies a highly recognised list of...
A dramatic drop worldwide in organ transplants since the outbreak of Covid-19
According to a new study published on August 31st, 2021, in Lancet Public Health, covering 22 countries including most of Europe and representing about 70% of global transplant activity, the number of solid organ transplants performed in the first wave of the pandemic...
Parasites and Cancer: A New Epigenetic Approach
Nearly 20% of cancers are associated with microbial infections. While the mechanisms involved are fairly well-known for viruses and bacteria, the role played by parasites remains a mystery. A new study led by Prof. Jonathan Weitzman from the Epigenetics and Cellular...
A world-class partnership in health biology
Christine Clerici, President of Université Paris Cité, and Stewart Cole, Director General of the Institut Pasteur, have formalised the cooperation between their institutions in pursuit of a concerted and shared scientific strategy. The two institutions aim...
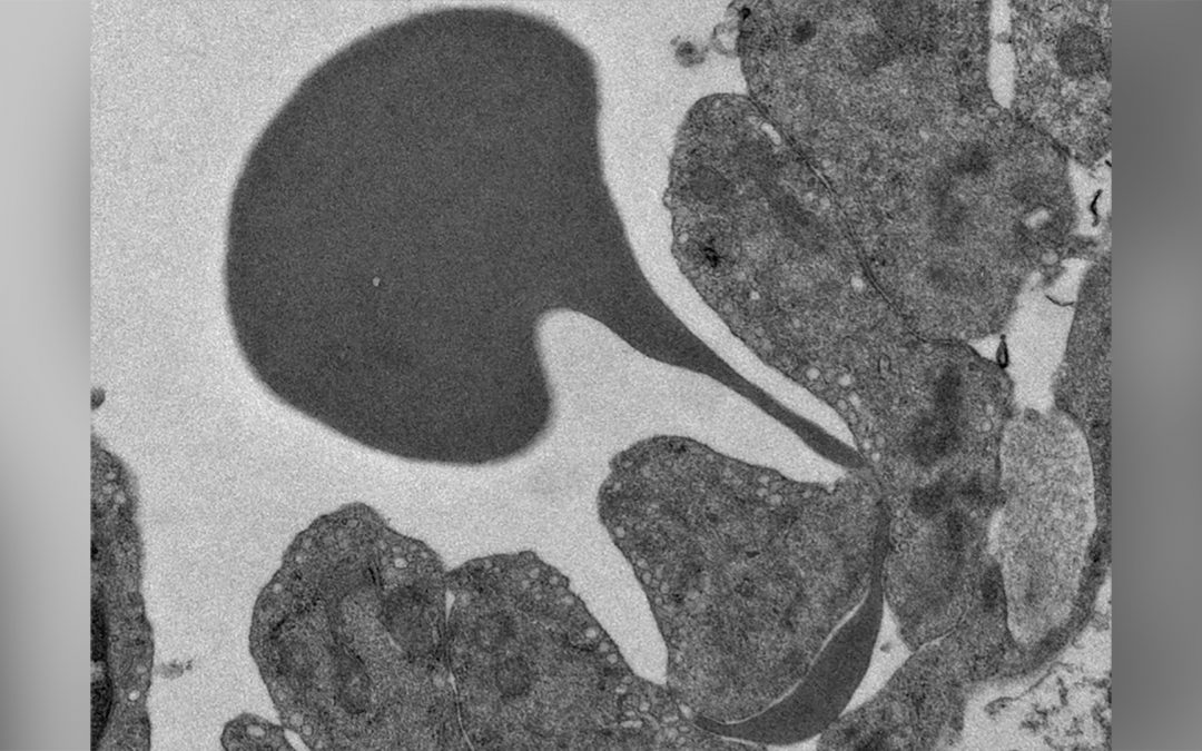
The Human Spleen, a cemetery and sanctuary for malaria parasites
Professor Pierre Buffet's research unit (UMRS 1134, Inserm Université Paris Cité), in close collaboration with the team of Professor Chrétien at Institut Pasteur, and an Australian-Indonesian team led by Professor Nick Anstey, observed in patients with...
Covid-19 : Discovery of the mechanisms of short-and long-term anosmia
Loss of smell, or anosmia, is one of the earliest and most commonly reported symptoms of COVID-19. But the mechanisms involved had yet to be clarified. Scientists from the Institut Pasteur, the CNRS, Inserm, Université Paris Cité and the Paris Public Hospital Network...
Covid-19 vaccines and thrombosis: What is it all about?
In response to the thrombosis cases that occurred as a consequence of the Covid-19 vaccinations, Prof. David Smadja, professor of hematology at Université Paris Cité, member of the hematology department of the Georges-Pompidou European Hospital...