12 mars 2021 | Accueil, Recherche, Recherche Sciences
Quelles nouvelles de Perseverance un mois après son atterrissage ? Le LESIA, laboratoire dont Université Paris Cité est l’une des co-tutelles, a contribué à la fabrication de la caméra SuperCam embarquée à bord. La phase de tests vient de s’achever. SuperCam, la...
18 février 2021 | Accueil, Recherche, Recherche Sciences
Une étude sur le fonctionnement des cellules épithéliales, publiée dans la revue Nature Materials, nous en apprend davantage sur leur mécanique. Rencontre et explications avec les chercheurs Benoît Ladoux et René-Marc Mège, responsables du groupe de recherche Adhésion...
17 février 2021 | Recherche, Recherche Sciences
L’ambition de COSMICS est de développer une plate-forme de modélisation autour de la spintronique moléculaire et de concepts généraux pour des stratégies efficaces permettant d’optimiser les propriétés de magnéto-transport des matériaux et des dispositifs....
25 janvier 2021 | Recherche, Recherche Sciences
Le Prix Roger de Spoelberch récompense un chercheur porteur d’un projet de recherche scientifique clinique et fondamentale dans le domaine des maladies neurodégénératives et des maladies psychiatriques. En 2020, le jury scientifique a sélectionné le projet DPSY...
5 janvier 2021 | Covid-19, Recherche Covid, Recherche Sciences
En novembre dernier, la Faculté des Sciences a recensé les actions liées à la crise sanitaire actuelle et à la Covid 19 menées dans ses laboratoires. Un total de 49 projets a été identifié, couvrant toutes les disciplines de la Faculté et 43% de ses unités de...
12 décembre 2020 | Accueil, Innovation, Recherche, Recherche Sciences
Cinq ans après les accords de Paris et la COP 21, le climat est plus que jamais l’un des enjeux cruciaux de notre futur commun. Découvrez les avancées scientifiques réalisées par une équipe de chercheurs du laboratoire d’électrochimie moléculaire...
3 décembre 2020 | Recherche, Recherche Sciences
Amanda Silva Brun, chargée de recherche CNRS au sein du laboratoire Matière et systèmes complexes (MSC), à l’antenne MSC-MED, à Université Paris Cité mène des travaux à l’interface de la physique pour la production et l’ingénierie des vésicules extracellulaires et de...
2 décembre 2020 | Accueil, Innovation, Mois des égalités, Recherche, Recherche Sciences
La SATT Erganeo a mis en relation l’entreprise Ipedis et le laboratoire LIPADE afin de développer une brique technologique destinée au développement de nouvelles solutions de publication numérique pour les personnes handicapées visuelles. Nicole Vincent,...
24 novembre 2020 | Recherche, Recherche Santé, Recherche Sciences
L’Académie des sciences a annoncé, le mardi 24 novembre, les noms des lauréats et lauréates des prix qu’elle a attribués en 2020. Cette année, cinq prix et médailles de l’Académie sont remis à des scientifiques d’Université Paris Cité.Sandrine Bourdoulous,...
21 novembre 2020 | Accueil, Recherche Covid, Recherche Santé, Recherche Sciences
Pour sa première édition, le Prix des Innovateurs en santé qui tend à distinguer les chercheurs de moins de 45 ans et leurs équipes auteurs d’innovations à l’impact médical, sociétal ou de santé publique a distingué 3 chercheurs – dont deux issus...
20 novembre 2020 | Presse, Recherche, Recherche Sciences
Une nouvelle étude, portée par Karine Audouze (Maitre de conférences, Université Paris Cité) au sein du laboratoire T3S* (Université Paris Cité, Inserm) publiée le 19 novembre dans la revue Environment International, révèle que l’exposition à des produits...
22 octobre 2020 | Accueil, Faculté des Sciences, Recherche, Recherche Sciences
La réponse est dans le film Bubble présenté dans le cadre du festival Pariscience 2020.Réalisé par Samia Serri, responsable du Département Image et son de la Direction de la communication, ce film associe l’approche scientifique de Florence Elias, Professeure à...
21 octobre 2020 | Recherche, Recherche Santé, Recherche Sciences, Recherche Sociétés Humanités
Université Paris Cité souhaite mettre en valeur la richesse et la diversité des activités de recherche et d’enseignement de ses facultés et de l’IPGP. Parmi les actions envisagées : la réalisation d’un livret d’expert.e.s. A usage interne (participation à des...
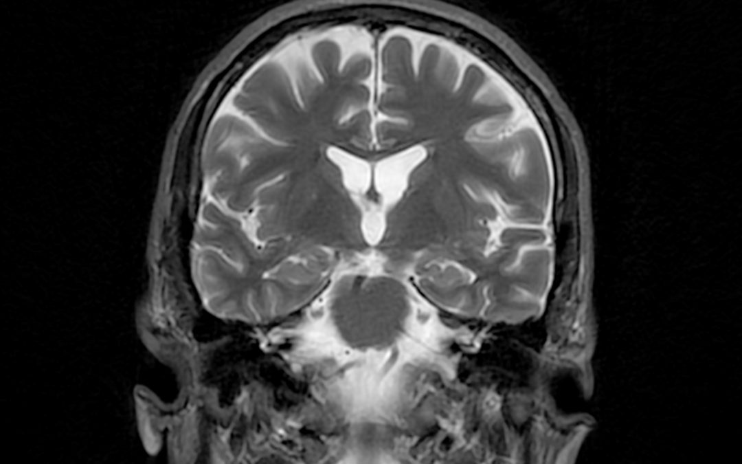
19 octobre 2020 | Accueil, Recherche, Recherche Sciences
En appliquant des outils développés pour l’étude de la formation des planètes, à l’étude de cerveaux de patients atteints de la maladie d’Alzheimer, les scientifiques de l’institut de physique du globe de Paris et de la Faculté de Santé d’Université Paris Cité ont mis...
6 octobre 2020 | Recherche Covid, Recherche Santé, Recherche Sciences
Pour la 14e édition du Prix Jeunes Talents France L’Oréal-UNESCO Pour les Femmes et la Science, 6 doctorantes et post-doctorantes portent haut les couleurs d’Université Paris Cité. Ada Altieri, Léa Bonnefoy, Lucie Leboulleux, Astrid Chevance, Johanna Mondesir, Jordane...
2 septembre 2020 | Recherche, Recherche Sciences
Pour faire face au défi climatique, le Laboratoire Interdisciplinaire des Énergies de Demain (LIED) accompagne la Mairie de Paris sur le projet Cours OASIS qui vise à transformer dix cours d’écoles en îlots de fraîcheur urbains. Pour faire face aux épisodes...