3 juillet 2022 | Non classé
Une campagne d’hameçonnage (ou phishing) vise actuellement les membres d’Université Paris Cité par le biais de messages frauduleux qui tentent de récupérer vos identifiants personnels. Si vous recevez l’un de ces messages, merci de le supprimer sans...
27 juin 2022 | Non classé
La surface de la Terre est divisée en plaques tectoniques distinctes, qui composent la lithosphère et « flottent » sur l’asthénosphère. Mais la localisation exacte de la frontière entre lithosphère et asthénosphère restait encore énigmatique. À l’aide de techniques de...
15 juin 2022 | Non classé
Le service des sports a mené une enquête flash en ligne en cette fin d’année universitaire auprès des étudiantes et des étudiants qui ont suivi l’UE Sport libre au cours de l’année 2021-2022. Qui sont-ils ? Satisfaits ? Comment ont-ils eu connaissance de l’UE...
30 mars 2022 | Non classé
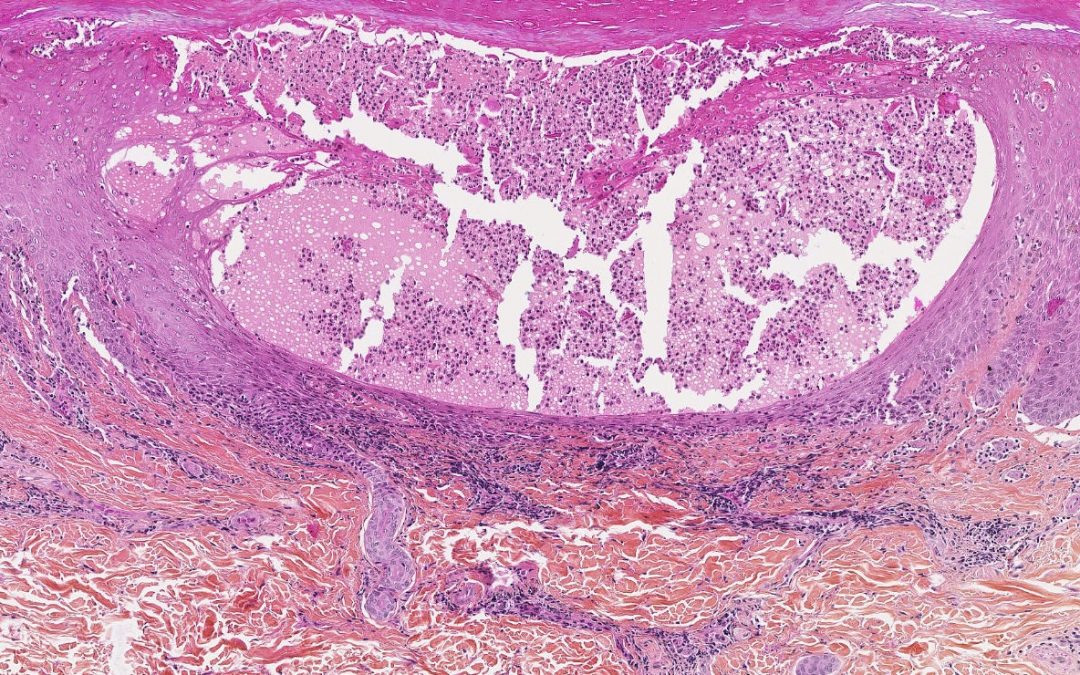
L’équipe du centre d’oncodermatologie de l’hôpital Saint-Louis AP-HP, de l’Inserm et d’Université Paris Cité, a testé l’efficacité d’un traitement par anti-PD1 chez des patients atteints d’une maladie de Kaposi dans une forme classique ou endémique. Les...
25 mars 2022 | Non classé
Le 10 mars dernier, le gouvernement a annoncé la labellisation définitive d’Université Paris Cité au titre des IdEx. L’évaluation très positive du jury international permet d’apprécier le chemin parcouru tout en se tournant avec confiance vers l’avenir. « C’est à la...
24 mars 2022 | Non classé
A l’occasion de la grande enquête de satisfaction LibQUAL+ menée par les bibliothèques du 14 mars au 17 avril 2022, la Direction générale déléguée aux bibliothèques et musées (DGDBM) nous explique sa politique de service innovante conçue avec et pour les...
23 mars 2022 | Non classé
Pour poursuivre la réflexion et le travail sur les enjeux environnementaux dans l’enseignement supérieur, le groupe SAHA, missionné par la gouvernance de l’Université, cherche à mieux cerner les perceptions des étudiantes et des étudiants de la transition...
17 mars 2022 | Non classé
Offre partenaire : Learning Planet Institute Localisation : Université Paris SudCampus d’Orsay, Bât 209D, rue Jean-Dominique Cassini, 91400 Orsay Catégorie : Catégorie A Prise de fonction : Dès que possible Offre de poste Intitulé de posteGESTIONNAIRE...
16 mars 2022 | Non classé
Retrouvez les contacts utiles de la Direction générale déléguée des ressources humaines et des organisations. Santé au travail Médecine du travail Médecine de prévention Campus Saint-Germain-des-Prés : Docteur Isabelle Roque : isabelle.roque@u-paris.fr Docteur...
4 mars 2022 | Non classé, Presse, Recherche, Recherche Santé
Un essai thérapeutique international de phase 2, coordonné par les professeurs Hervé Bachelez (Université Paris Cité, Hôpital Saint-Louis-AP-HP, Inserm, Institut Imagine) à Paris et Mark Lebwohl à l’Hôpital Mount Sinaï à New-York, a permis d’étudier chez les malades...